网站首页
讨论
商家
教学
人才
学会
更多
书店
分享
博客
会议
文献
百科
访问量:245727
首都医科大学附属北京地坛医院病理科
返回
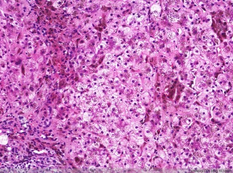
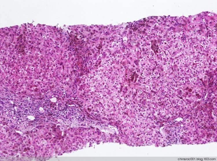
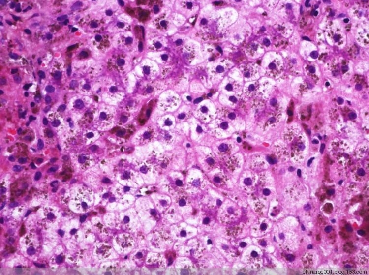
其他相片
浏览量:
我要评论
共
0
条评论
科室首页
科室概况
新闻动态
科室成员
科室相册
咨询留言
科室信息
王鹏,于2012年03月03日创建了该网上科室
管理员:
careful
所在地:
北京市 - 朝阳区
通信地址:
北京市朝阳区京顺东街8号
联系人:
王大夫
联系电话:
010-84322534
邮编:
100015
最近浏览
禹州-小李
我爱我家
腾飞
andyquee
qd020271
www810910
Ax14ng
fil050407
guanyongan
yimiyangguang@12
bobol
zhang840415
共0条评论